Huller i tænderne
Bakterier på tænderne omdanner sukker til syre, og huller opstår. Syren ætser først emaljeoverfladen, og gør man ikke noget, fortsætter opløsningen af tanden.

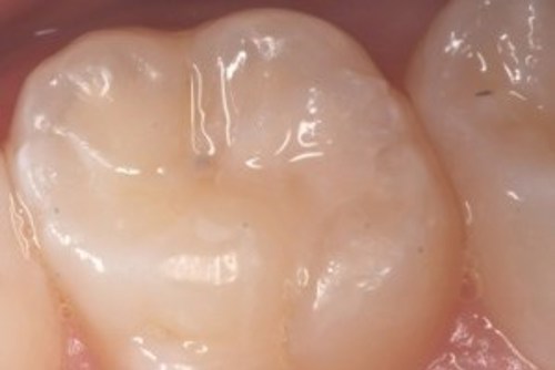
Begyndende hul
Det kaldes et begyndende hul, når ætsningen kun er i emaljen og i det yderste af tandbenet (dentinen).
Begyndende huller behøver man ikke bore ud og lægge fyldning i.


På første billede ses det begyndende hul, som hvid kridtning på tanden.
På andet billede vises hvordan man kan standse udviklingen af hullet, hvis man børster grundigt.
Stop opløsningen af tanden
Hvis man opdager et begyndende hul, kan man stoppe opløsningen af tanden ved at:
- Børste bakterierne væk fra hullet mindst 2 gange om dagen. Læs mere om tandbørstning.
- Bruge tandtråd én gang om dagen, hvis hullet sidder mellem tænderne. Læs mere om tandtråd.
- Begrænse sit forbrug af sukker og syre.
- Fluorbehandle det begyndende hul. Læs mere om fluorbehandling.
- Lakere tyggefladen, hvis hullet sidder dér. Læs mere om lakering.
Skjulte huller
Et hul er ikke altid en fordybning eller et brud på tanden. Opløsningen kan også være skjult under en hel emalje-overflade.
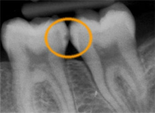
Huller mellem tænderne
Ofte dannes hullerne også mellem tænderne, hvor man ikke kan se dem med det blotte øje. Det kan derfor være nødvendigt, at tage røntgenbilleder af tænderne, for at opdage hullerne.


Første røntgenbillede viser et begyndende hul.
Andet røntgenbillede viser et stort hul. I cirklerne ses de små sorte pletter mellem tænderne, som er de begyndende huller.
Antal af røntgenbilleder
Tandplejens holdning til røntgenbilleder er, at vi tager det nødvendige antal røntgenbilleder samtidig med, at vi prøver at begrænse antallet, for at formindske den røntgenstråling børn og unge får.
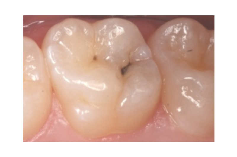
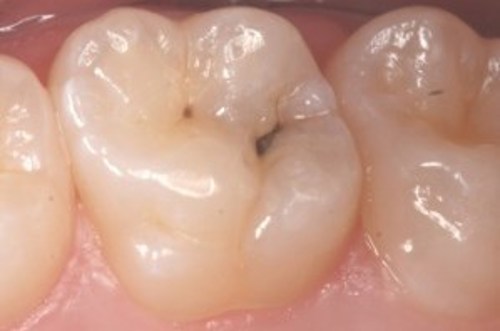
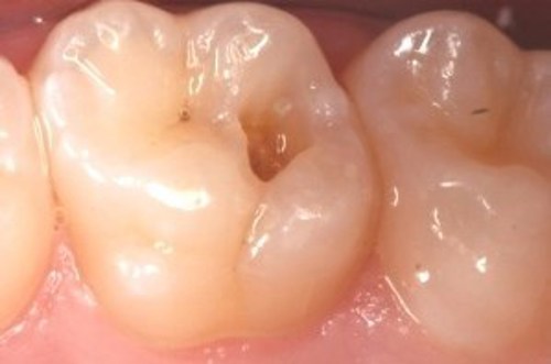
Hullet bliver lavet
Billederne nedenfor viser, hvordan hullet bliver lavet.



På første billede ses hullet som en sort plet på tanden.
På andet billede er tandoverfladen boret væk, så man kan se ned i hullet.
På sidste billede er hullet renset og der er lagt en plastfyldning i.

Røntgenbillede af hul. Hullet ses som en sort plet.