Tandbørstning og tandtråd
Se her, hvordan du bedst børster tænderne på dit barn med fluortandpasta fra første tandfrembrud. Du får også tips til brug af tandtråd.

God mundhygiejne
God mundhygiejne er den bedste forebyggelse mod huller i tænderne og tandkødsbetændelse. Derfor er det vigtigt, at du hver dag hjælper dit barn med tandbørstningen, så barnet mindst én gang i døgnet får børstet rent af en voksen.
Det er vigtigt at bruge tandpasta med fluor, fra barnets første tand bryder frem.
Tandbørstning

1. Børst tænder på din baby, når den ligger på pulsebordet.

2. Stå bagved dit barn når du børster, det giver godt udsyn.

3. Børnene skal også selv øve sig i at børste tænder.

4. Vær ekstra opmærksom, når du børster 6-års-tanden.
Tandtråd
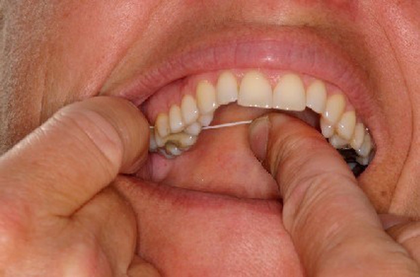
Tandtråd er godt at bruge, især hvis tænderne sidder tæt sammen, det kræver blot lidt øvelse.
Tænderne sidder som regel så tæt sammen, at tandbørsten ikke kan gøre rent mellem tænderne. Tandtråden kan gøre rent mellem tænderne, dér hvor tandbørsten ikke kan nå. Hvis plakken får lov til at sidde i fred mellem tænderne, udvikler der sig huller, eller der kan dannes tandsten.
Brug derfor tandtråd hver dag!
Hvis du er i tvivl, kan vi i Tandplejen vise dig, hvordan du bedst kan gøre det. Hvis du synes, det er svært, skal du ikke give op! Det tager et stykke tid at blive god til det.

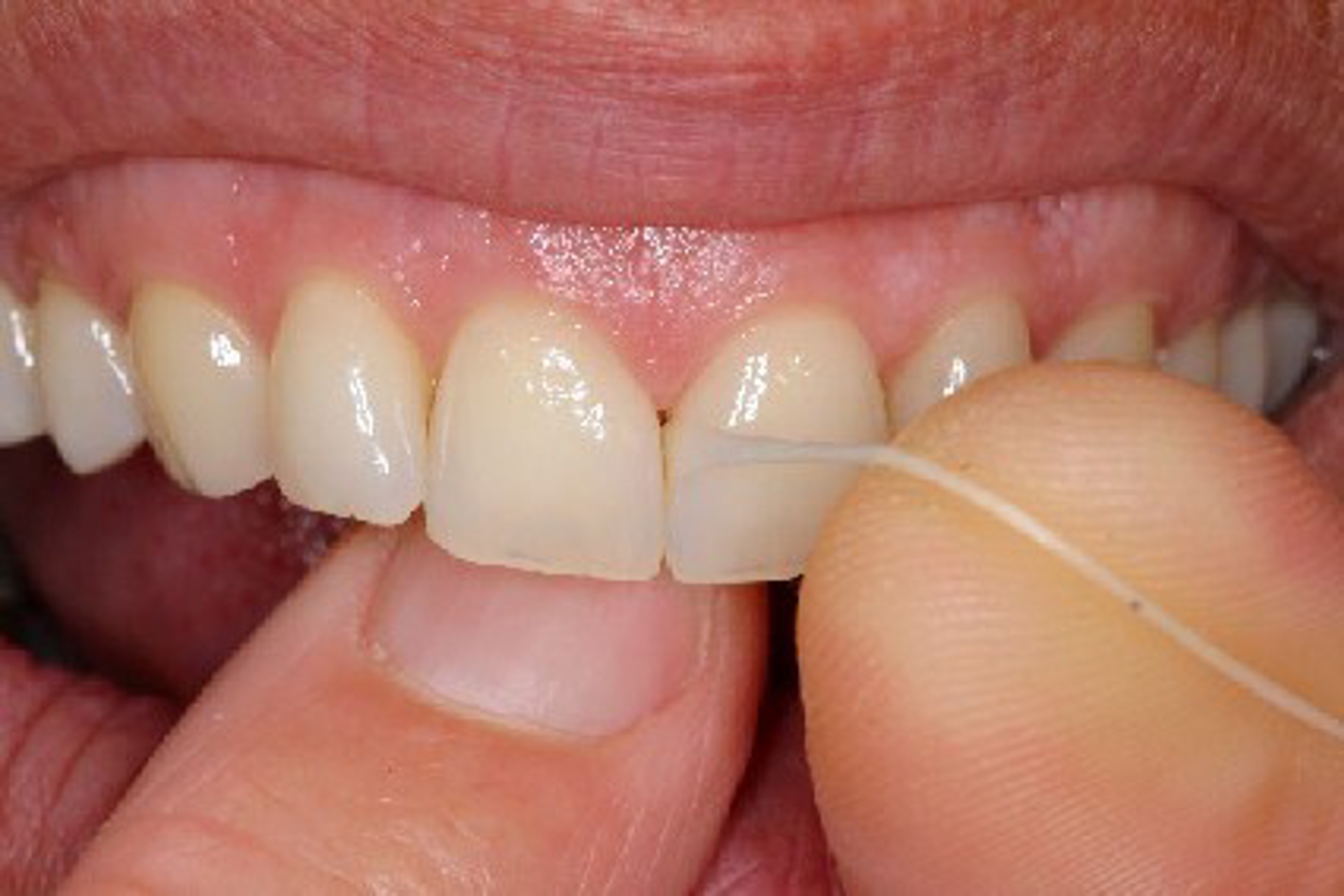
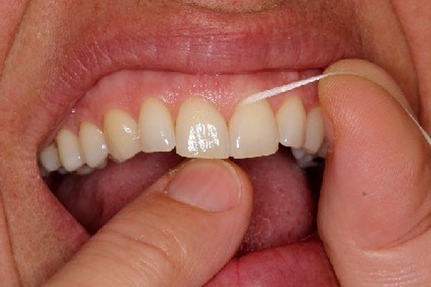
Bind en løkke på tråden.

Hold et lille stykke stramt mellem to fingre.

Træk tråden forsigtigt op mellem tænderne - uden at røre tandkødet.

Træk tråden langs den ene tand. Brug savende bevægelser.

...og langs den anden tand.

Ved kindtænderne er det især vigtigt, kun at have et lille stykke tråd mellem fingrene... ellers har du ikke styr' på det!
Billeder: fotograf Allan Hansen
For nogen er det nemmere at bruge denne type tandtråd, som er fastgjort på en lille gaffel. Tråden på gaflen bevæges frem og tilbage mellem tænderne.

Der findes forskellige typer tandtråd:
- Tyk eller tynd
- Vokset eller uvokset
- Med og uden smag
- Tandtråd på en holder
Find den type tandtråd, du bedst kan lide at bruge.
Tandtråd og Glide
- Gliden kan genbruges indtil tråden flosser eller ikke kan strammes mere.
- Efter brug skylles tandtråden.
- OralB’s Glide Floss Picks kan købes på deres hjemmeside.
- Almindelig tandtråd kan købes i daglivarebutikker.