Sådan retter vi tænderne
Tandretning - tandregulering - bøjler. Kært barn har mange navne. Det handler om, at tænderne ikke altid sidder, som de skal i munden.

Funktion frem for kosmetik
Når det vurderes om der skal bøjle på tænderne, lægges der vægt på, om tænderne kan fungere på lang sigt.
Det er ikke så vigtigt, hvordan tænderne ser ud.
Fast bøjle (apparatur)
En fast bøjle består af små brackets, som limes fast på tænderne. Tværs over tænder og brackets sættes en bue i metaltråd ("togskinner"). Den faste bøjle kan kun sættes på og fjernes på tandklinikken.
Billederne nedenfor viser en fast bøjle og en sektionsbue, som er en fast bøjle over nogle få tænder.


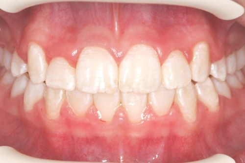
Resultat efter 16 måneder
Nedenfor ser du et eksempel på en behandling, der kun har varet 16 måneder. Efter selve tandretningen, skal man regne med at gå med en holdebøjle i flere år, så tænderne ikke rykker tilbage på deres gamle skæve plads.
Billederne viser et tandsæt før tandretning og tandsættet efter 16 måneder med fast bøjle.


Vær opmærksom
Hvad skal jeg være særlig opmærksom på, når jeg har bøjle?
-
Ømme tænder.
Tænderne kan godt blive lidt ømme de første dage efter man har fået fast bøjle på. -
Hvad må man ikke spise?
Alt hvad der er hårdt, sejt og klæbrigt - f.eks. lakridser, karameller og tyggegummi. -
Mundhygiejnen.
Når du har bøjle på samler snavset sig nemmere på tænderne. Du skal derfor regne med, at bruge mere tid på tandbørstning, når du har bøjle. Spørg i Tandplejen hvordan du bedst gør dine tænder rene. -
Hvis noget går i stykker.
Så ring og bestil en tid, så vi kan reparere det.
Aftagelig bøjle (apparatur)
Aftageligt apparatur er tandretningsbøjler patienten selv kan tage af og på. Bøjlerne har forskellig udformning, afhængig af hvilken tandstillingsfejl der skal rettes. Ved behandling med aftageligt apparatur skal tænderne scannes. Ved hjælp af denne scanning laves bøjlen.
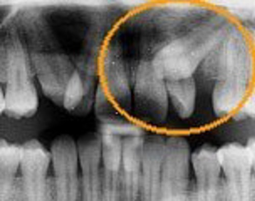
Nødvendig operation
Det kan blive nødvendigt, at operere tanden frem og derefter sætte bøjle på, hvis den ikke kommer rigtigt frem i kæben.
Nedenfor ses en billedserie, der illustrere forløbet.
- Røntgenbillede af hjørnetand, som ikke kan komme frem.
- Hjørnetanden opereres frem og trækkes på plads med en elastik ned til en fast bøjle.
- Hjørnetanden på plads i tandrækken.


