Gå til hovedindhold

Lovgivning og krav

Tandretning er en integreret del af Tandplejens tilbud til de unge. Tilbuddet skal opfylde Lov om tandpleje, som tolkes af Sundhedsministeriet og Sundhedsstyrelsen.

  • Tegnsprog

Indhold

    Tandstillingsfejl

    Tandplejen hverken kan eller skal tilbyde behandling på alle tandstillingsafvigelser, det betyder at ca. 25% af de unge får tilbuddet.

    • Det er fastlagt ved lov, hvilke typer tandstillingsfejl, vi kan tilbyde at rette.
    • Vi tilbyder behandling af de tandstillingsfejl, der på længere sigt har betydning for børnenes bid og funktion.
    • Vi kan ikke tilbyde at rette tandstillingsfejl, der ikke har betydning for tandsættets eller børnenes normale funktion.
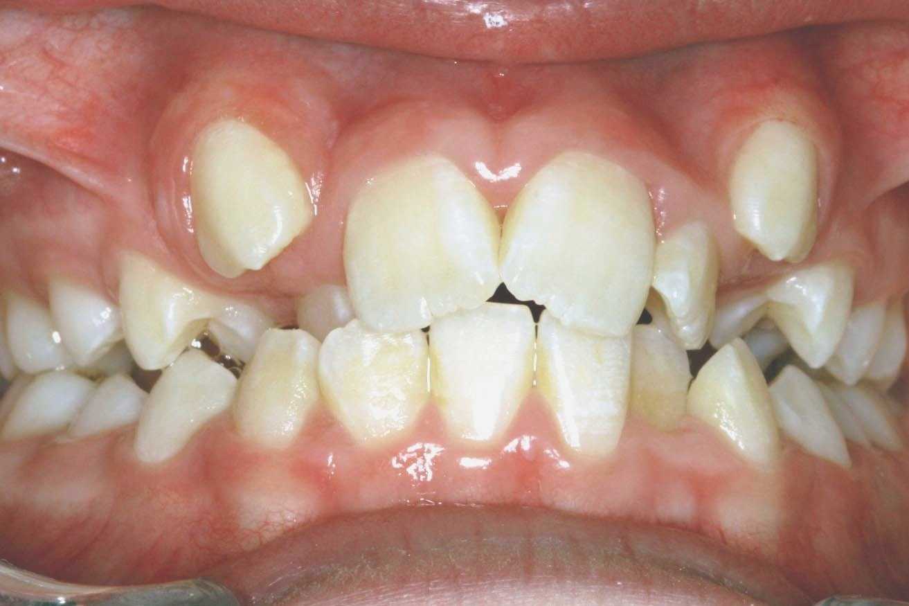
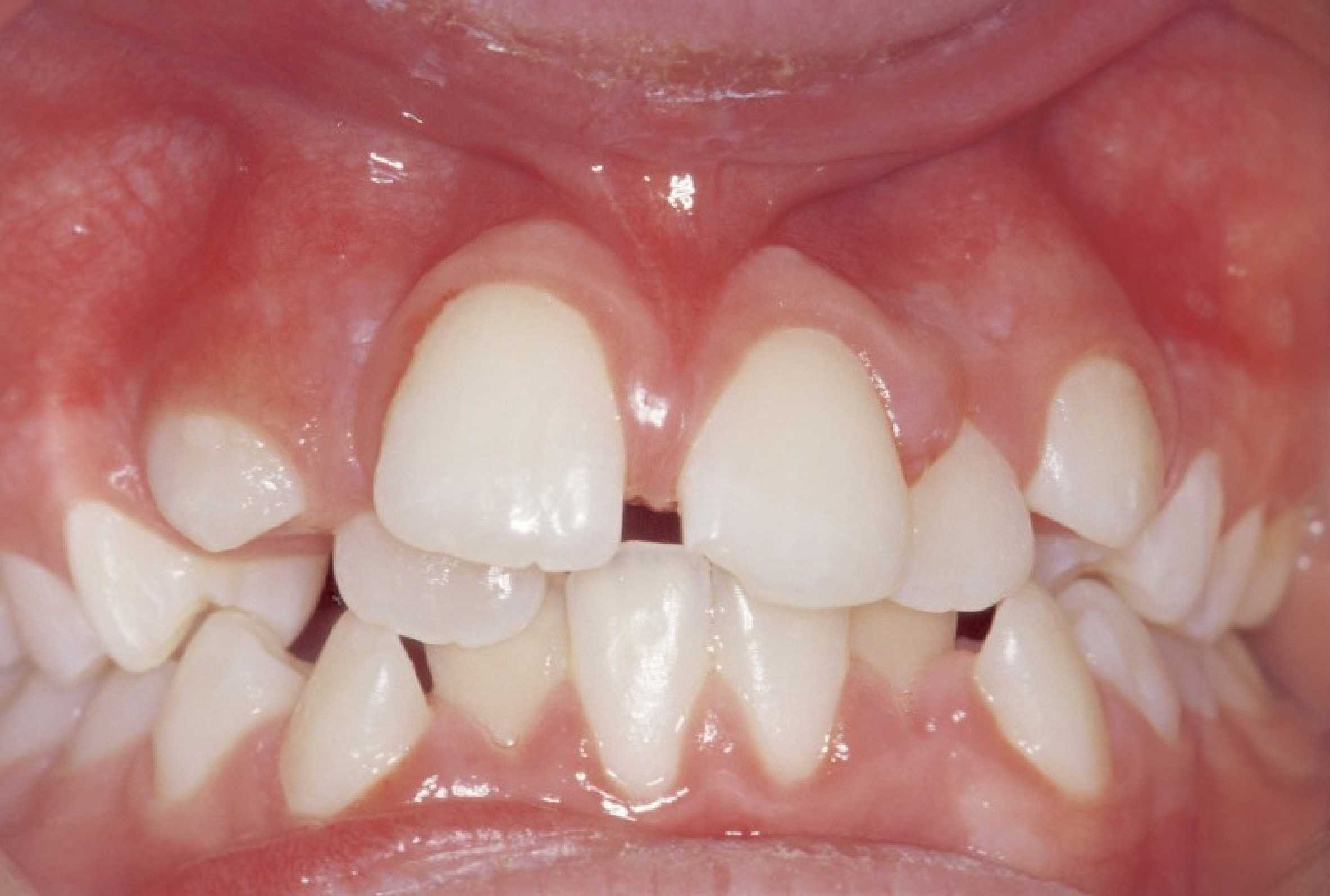
    Billedet viser et skævt sæt tænder.
    Billedet viser et skævt tandsæt.

    Skævt tandsæt.

      Billederne viser eksempler på tandstillinger der tilbydes reguleret.

      Tandstillingsproblemer og behandlingsmuligheder

      Tandplejen følger tandstillingens udvikling på de unge og indkalder de unge og deres forældre til en grundig orientering om tandstillingsproblemer og behandlingsmuligheder, i de tilfælde, hvor det er nødvendigt.

      Denne orientering sker på det gunstigste tidspunkt for påbegyndelse af evt. tandretningsbehandling. Forældrene og de unge tager efter samtalen stilling til, om tandretning ønskes.

      Tilbud gives kun én gang

      Man kan ikke senere rejse krav om behandling, hvis man siger NEJ til tilbuddet om tandregulering på dette tidspunkt. Fordi behandlingen kan i mellemtiden have udviklet sig til en større behandling.

      Store krav til de unge

      Tandretningsbehandlinger er ofte langvarige og stiller store krav til de unges aktive samarbejde. Læs mere om krav og forventninger inden du går i gang med en tandreguleringsbehandling.

      Mindre tilbagefald

      Efter endt behandling, er der ofte et vist, mindre tilbagefald mod udgangs-punktet. Dette skyldes, at de fleste tandstillingsafvigelser er forårsaget af arvelige forhold.

      Sidst opdateret: 11. december 2025