Gå til hovedindhold

Hvis uheldet er ude

Hvis uheldet er ude, er det første du skal gøre følgende.

  • Tegnsprog

Indhold

    • Berolig barnet.
    • Vask munden forsigtigt evt. kun en skylning.
    • Se efter i både overmund og undermund, om der mangler tænder eller tandstykker.
    • Find evt. tænder og tandstykker og læg dem i mælk.
    • Sæt dem ikke selv på plads!
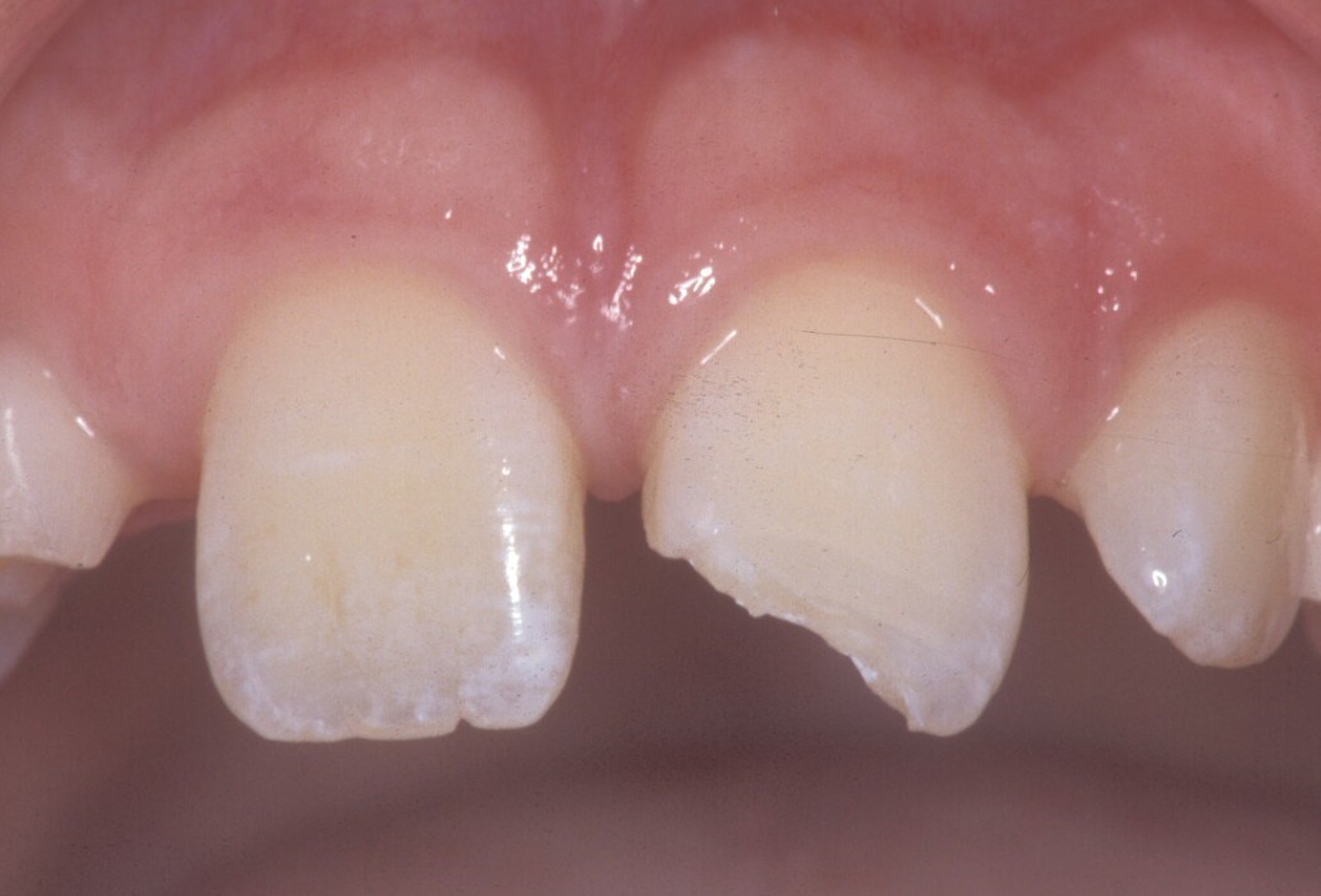
    Billedet viser en knækket fortand.

    En blivende fortand er knækket..

    Billedet viser en knækket fortand efter den er blevet lavet.

    ..tandlægen har limet tandstumpen på igen

    Hurtig hjælp er nødvendig, hvis:

    • Blivende tænder er slået ud.
    • Tænder er slået meget løse.
    • Der er slået store stykker af tænderne.
    • Tænderne har flyttet sig (er slået skæve).
    • Biddet føles forkert.
    • Der er store sår.

    Ring til tandplejen, eller kom så hurtigt som muligt og medbring udslåede tænder eller tandstykker.

    Det kan vente til næste dag, hvis:

    • Tænderne kun er lidt ømme eller løse.
    • Der kun er slået en lille flis af en tand.
    • En mælketand er slået ud.

    Hvis du er i tvivl, så ring til Tandplejen for råd og vejledning.

    Sidst opdateret: 11. december 2025