Gå til hovedindhold

Sodavand, sukker og syre

Syreskader opstår, når du drikker læskedrikke, danskvand eller har en spiseforstyrrelse.
Syren i sodavand, saft og juice gør ligeså meget skade på tænderne som sukkeret! Der er også syre i "light" og "zero" produkter.
Bakterierne i munden omdanner sukker til syre.

Billedet viser mængde af sukker i fire slags drikkevarer.
  • Tegnsprog

Indhold

    Syreskader

    Der sker syreætsning på tænderne, når du drikker eller spiser noget surt, eller kaster meget op.

    Kemisk ætsning

    Ætsningen eller erosionen af tænderne er en kemisk ætsning, som ikke har med bakterier at gøre. Den kemiske ætsning skyldes, at der tilsættes fosforsyre og citronsyre i juice, sodavand og danskvand, for at give en friskere smag og som konserveringsmiddel.

    Syreætsning

    Men da bakterierne i munden omdanner sukker til syre, sker der også syreætsning på tænderne, når du spiser noget sødt.

    Den yderste del af emaljen opløses. Et meget tyndt lag af tanden bliver skyllet væk og kan ikke dannes igen. Hvis dette sker ofte, vil emaljen blive tyndere og tyndere og tænderne bliver følsomme, især for kulde. Tænderne kan blive så tyndslidte, at der begynder at knække små stykker af.

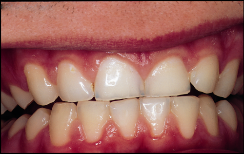
    Eksempel på syreskader

    Her ses forskellige eksempler på, hvor syre har ætset det meste af emaljen væk. Undersøgelser viser, at hvert 6. barn har syreskader.

    På røntgenbilledet ses en kindtand, hvor emaljen næsten er ætset væk. Hvor tyk emaljen skulle have været, kan ses på nabotanden.

    Syreskader er meget svære selv at opdage, fordi tændernes emalje bliver ved med at være blanke. Hvis du drikker meget søde læskedrikke eller ofte kaster op, så spørg din behandler i Tandplejen, om du har syreskader.

    Hvis du ofte kaster op, kan det være du har en spiseforstyrrelse. Den stærke mavesyre, som opkast indeholder, ætser tænderne. Derfor skyl munden med vand, når du har kastet op. For at undgå slid på den opløste emalje, skal du ikke børste tænderne de første 20 minutter efter, at du har kastet op.

    Det vigtigste er, at du får hjælp til at gøre noget ved din spiseforstyrrelse.

    Tal med én fra Tandplejen, din sundhedsplejerske eller læge. Du kan også få anonym rådgivning hos:
    Landsforeningen mod spiseforstyrrelser på tlf. 33 11 49 19 eller klik på banneret højere oppe på siden.

    Syreindhold i drikkevarer og slik

    Læskedrikke som f.eks. sodavand, cola, saftevand og juice indeholder syre. Hver gang du drikker opløser syren emaljen. Dine tænder vil konstant være badet i syre, hvis du drikker af en flaske med skruelåg og tager slurke med jævne mellemrum. Der er større risiko for at få ætsninger af tænderne, jo flere gange om dagen, du tar’ en slurk af din sodavand.

    Surt slik er blevet meget populært, men her gælder det også, at hver gang du spiser surt slik opløser syren emaljen. Jo mere surt slik du spiser stiger risikoen for ætsninger, ikke kun af tænderne, men også af slimhinden i mundhulen.
     

    Billedet viser nogle Brain Blasters som er surt slik.

    Slik som f.eks. Brain Blasters har en pH på 3,0.

    Vi har allerede set en del unge med alvorlige skader på tænderne, men det er svært at sige. De drikker ½ til 1 liter sodavand om dagen, siger de fleste af dem.

    Cola's pH er 2,4 og Ribena solbærs (drikkeklar) pH er 2,9. Begge drikke er altså sure for tænderne, men der er jo sunde vitaminer i Ribena. 

    Syreindholdet måles i pH. Jo lavere pH-værdi, des stærkere syre. Den neutrale pH-værdi er 7. Alt under pH på 5,5 virker ætsende på emaljen.

    Billedet viser vand der hældes i et glas.

    Tandplejen anbefaler vand

    7 gode grunde til at drikke vand, når du er tørstig i stedet for sodavand og læskedrikke:

    1. Vand indeholder ingen sukker.
    2. Sukker i store mængder er usundt for krop og tænder, og du har stor risiko for at få huller i tænderne.
    3. Hvis du tit drikker sodavand og læskedrikke, bliver dit spyt så surt, at emaljen på tænderne opløses, og den gendannes ikke.
    4. Vand er kaloriefrit.
    5. Vand optages med det samme i kroppen.
    6. Vand slukker tørsten, det gør sodavand og læskedrikke ikke.
    7. Vand tager ikke den gode appetit til måltiderne. 

    Det er derfor vigtigt for tænderne at huske at skylde munden med vand - efter man har drukket syreholdige drikke.

    Hvis du ikke får væske nok, risikerer du:

    • At blive træt.
    • At få hovedpine.
    • At få nedsat koncentration.

    Hver dag mister du flere liter væske gennem sved, urin og udåndings-luft. Derfor er det vigtigt, at du drikker 1 ½ - 2 liter væske om dagen.

    Sidst opdateret: 11. december 2025