Visdomstænder
Der går de værste historier om visdomstænder, og hvordan man får dem fjernet. Her får du lidt facts og lidt forklaringer.

Bageste tand i tandsættet
Visdomstanden er den bageste tand i tandsættet og dén tand, der oftest mangler i tandsættet. Mange visdomstænder kommer aldrig frem i munden.
Ikke alle visdomstænder skal fjernes
De visdomstænder, som ikke behøver at blive fjernet er følgende:
- Dem, der ligger helt skjult nede i kæben uden kontakt med mundhulen. Dette gælder også selvom de ligger på tværs.
- De visdomstænder, hvor der er god plads, og som har en normal frembrudsretning.

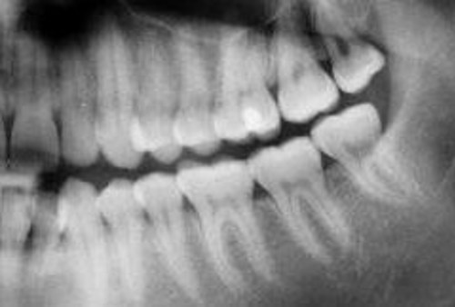
På røntgenbilledet er visdomstanden kommet normalt frem i munden.
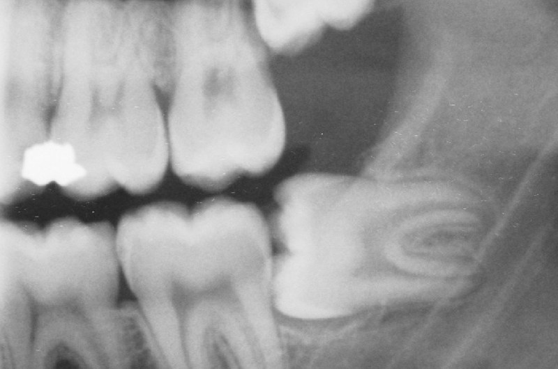
De visdomstænder, vi tilbyder at fjerne, er følgende:
- De tænder, der giver symptomer, det vil sige, at de gør ondt eller giver betændelse.
- De tænder, som ikke kan komme helt frem i munden, men kun delvist. De samler plak, og kan ikke børstes rene. Det kan medfører huller og betændelse.

På røntgenbilledet ses en visdomstand, som ligger på tværs og ikke kan komme frem af sig selv. Den skal fjernes, fordi den er kommet delvist frem i munden. Den samler plak, og der er risiko for betændelse nede omkring tanden.