Gå til hovedindhold

Piercinger

I Tandplejen forholder vi os til de piercinger, der ligger ingen for vores område, nemlig mundhulen, det vil sige tunge- og læbepiercinger.

Billedet viser et stort smil med en læbepiercing.
  • Tegnsprog

Indhold

    Som tandlæger ser vi følgende problemer:

    Tungepiercinger

    Billederne viser skader efter en tungepiercing.

    Tandskader

    Tandskader ses ofte efter tungepiercing. Der kan knække et stykke af en tand (også selvom den er sund og uden fyldning), fordi man kommer til at tygge på piercingen.

    Infektioner

    Der ses ofte infektioner ved tungepiercinger. I mundhulen er der naturligt masser af bakterier. Når slimhinden på tungen gennembores af piercingen får bakterierne adgang til blodet. Betændelsen, som opstår, kan være lokal, men kan også sprede sig i hele kroppen. En ung mand i Norge døde af en alvorlig streptokokinfektion efter en tungepiercing.

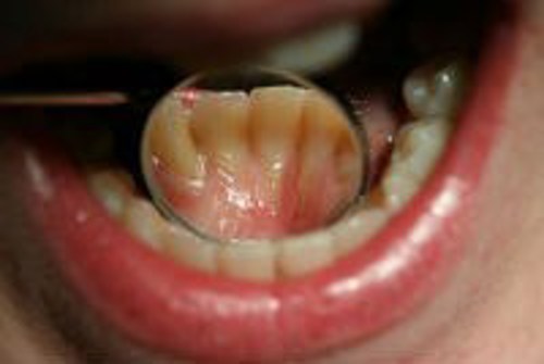
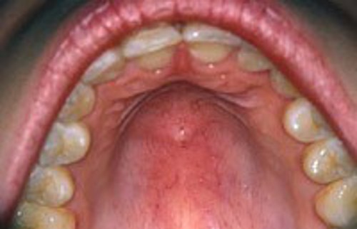
    Trykker på slimhinden

    Man kan også se, at piercingen trykker på slimhinden i ganen, så der kommer en bule.

    Der er mærke i ganen på grund af piercingen i tungen.

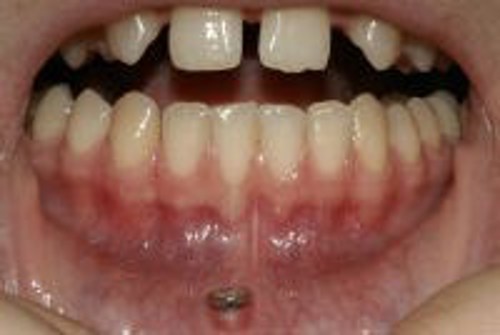
    Læbepiercinger

    På billederne ses hvordan en piercingen i underlæben har fået tandkødet til at trække sig tilbage.

    Tandkødsskader

    Tandkødet bliver ofte irriteret og trækker sig tilbage. Der er risiko for, at der nemmere opstår parodontose på dette sted. Når tandkødet først har trukket sig tilbage, kommer det næsten aldrig op igen.

    Generelle gener

    Piercinger i mundhulen kan medføre savlen og talebesvær.

    Der er også risiko for:

    • Kontaktallergi
    • Fremmedlegemegranulom, som er forandringer i det omkringliggende blødt væv
    • Endocarditis (betændelse på hjerteklapperne)
    Sidst opdateret: 11. december 2025