Gå til hovedindhold

Tandsten og misfarvning

Bliv klogere på hvordan du forholder dig, hvis du har tandsten eller misfarvning af tænderne.

Billedet viser tandsten på tænderne i undermunden.
  • Tegnsprog

Indhold

    Tandsten

    Tandsten kommer, fordi dine tænder ikke er holdt helt rene.

    Der sidder gamle madrester og bakterier på tænderne, og disse belægninger bliver forkalkede af den kalk, der findes i dit spyt

    Det kalk, der er i vandet, som du drikker eller børster tænder i, har intet at gøre med tandsten, som nogle ellers tror.

    • Tandsten er forkalkede bakterier.
    • Bakterierne bliver forkalkede af kalk i dit spyt.
    • Nogle har meget kalk i spyttet og danner derfor meget tandsten. Andre har mindre kalk i spyttet, og er derfor heldige ikke at danne så meget tandsten. Men næsten alle danner tandsten.
    • Mængden af tandsten øges gerne med alderen.
    • Tandsten har en ru overflade, hvori levende bakterier sidder fast.
    • Tandsten kan medføre alvorlige tilstande som eksempelvis paradentose.
    • Tandsten medfører, at der kommer misfarvninger.
    • Tandsten skal altid fjernes.
    • Tandsten, der er mere end 1-2 uger gammel, kan kun fjernes med en professionel tandrensning hos en tandlæge eller tandplejer. 
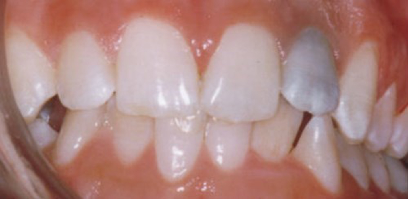
    På billedet ses en tand med misfarvning.

    Misfarvninger

    Hvis tandens nerve dør, kan tanden blive grålig eller blåsort. Det kan f.eks. ske efter et slag eller på grund af betændelse i roden.

    • Rodbehandlede tænder kan bleges indefra med et blegemiddel, der hedder natriumperborat.
      Ulempen er: Tanden bliver mere skrøbelig (sprød) end den var før.
    • Hvis tanden er meget mørk, kan det være nødvendigt at sætte enten en porcelænsfacade eller en krone på tanden, for at dække det mørke.
      Ulempen er: Der skal slibes en del sund tand væk.

     

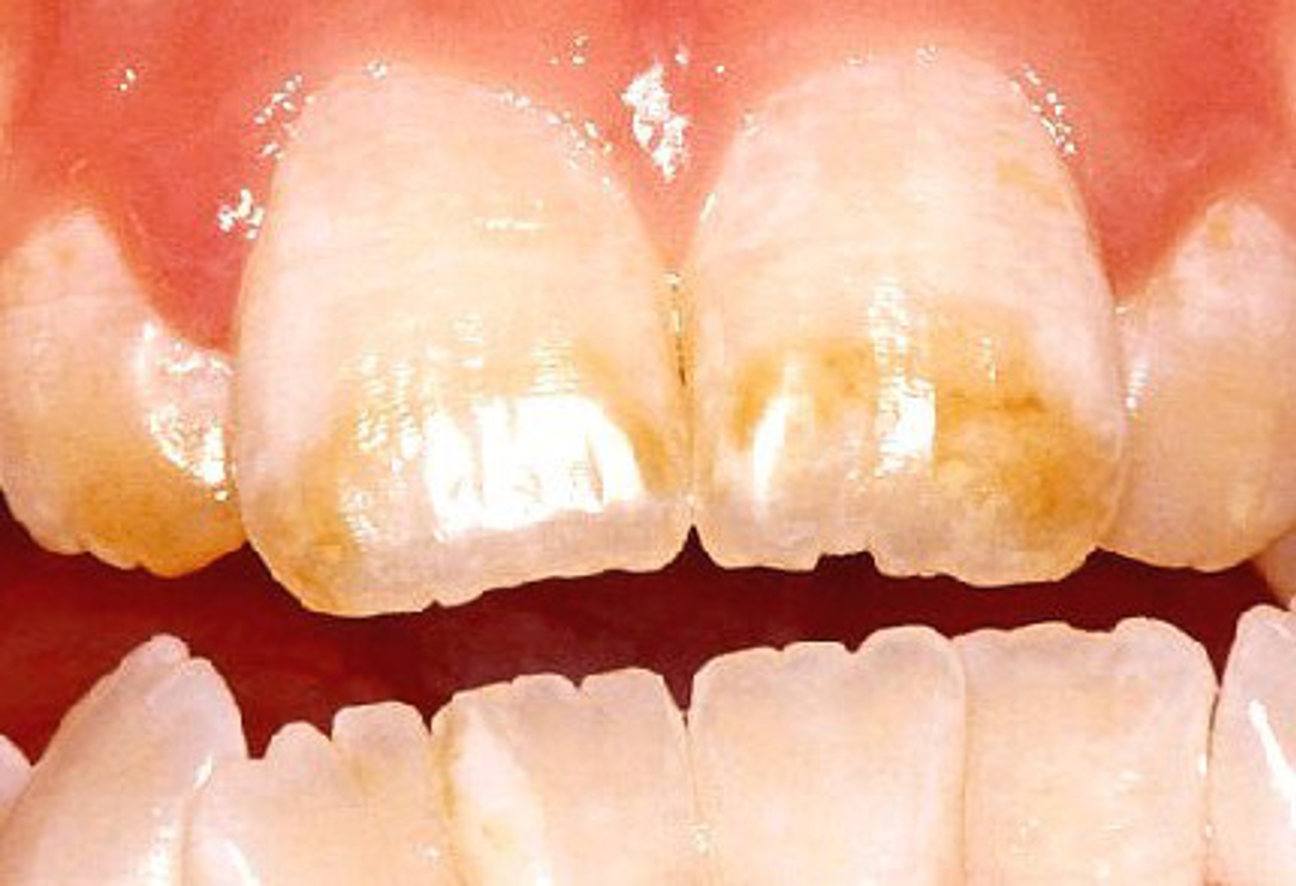
    Billedet viser kraftig misfarvning af fortænderne.

    Eksterne misfarvninger før behandling.

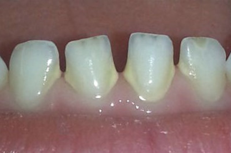
    Billedet viser et par hvide fortænder efter behandling af misfarvning.

    Misfarvningerne er væk efter behandling med saltsyre.

    En tand kan være født med brunlig eller hvidlige pletter. Årsagen kan være flere:

    • For meget fluor i vandet under tanddannelsen.
    • Medicinindtagelse i fostertilstanden.
    • Skade på mælketanden, så den har beskadiget tandanlægget.
    • Endelig er der en del misfarvninger, som ikke kan forklares.
    • Ætse misfarvningen med saltsyre i ca. 5 sekunder, og derefter pudse på misfarvningen.
      Der er ingen større ulemper ved behandlingen, men det er ikke altid, det lykkes.
    • Man kan også dække tandens forside (og dermed misfarvningen) med en porcelænsfacade.
      Ulempen er: Der slibes sund emalje af, for at give plads til porcelænet.
    Sidst opdateret: 11. december 2025