Rokketænder - tandskifte
Rokketænder opstår, når de nye blivende tænder skubber mælketænderne ud.
Tandskifte
Tandskiftet begynder, når børnene når 6-årsalderen. Mælketænderne falder ud, og de blivende tænder kommer frem. Samtidig bryder 6-årstanden frem bagved de bageste mælketænder. Det er den første store blivende kindtand. Man taber ikke nogen mælketænder, dér hvor 6-årstanden kommer.


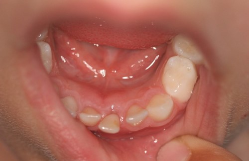
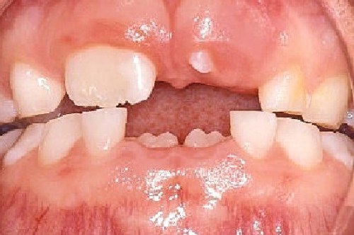
Det første billede ovenfor viser den første løse mælketand, der skal skiftes.
Det andet viser 6-årstanden der dukker op bagved den bagerste mælketand.
Tandskift varierer fra barn til barn
Hvornår tænderne bryder frem, kan variere meget fra barn til barn. Der er ingen grund til bekymring, før tandskiftet er mere end 2 år forsinket.
Vi tager røntgenbilleder af tænderne, hvis vi har mistanke om, at tænderne ikke skiftes normalt.

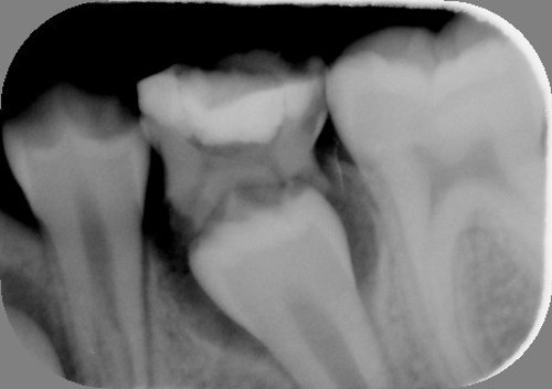
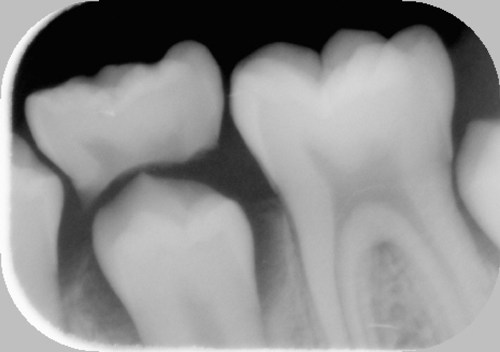
På dette røntgenbillede kan man se de nye tænder, som ligger i kæben neden under mælketænderne.
Sådan opstår rokketænder
I kæben under mælketænderne ligger de nye blivende tænder, som er under udvikling. Mælketændernes rødder bliver opløst, efterhånden som de nye tænder vokser. Til sidst falder mælketanden ud, når hele tandens rod er væk.


På første røntgenbillede er den blivende tand ved at skubbe mælketanden ud. På det andet er mælketanden lige ved at falde ud.
Nye tænder er længe om at bryde frem
Der kan godt gå flere måneder, før den nye tand kommer til syne. Nogle gange bryder de nye tænder frem ved siden af mælketænderne. Hvis mælketænderne ikke vil falde ud af sig selv, kan man være nødt til, at trække den ud.


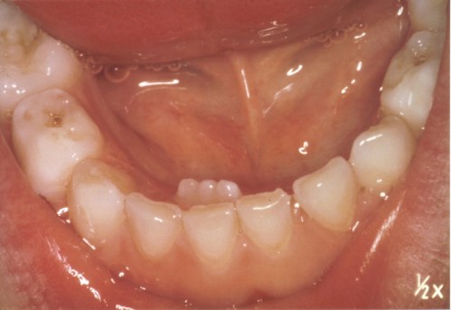
På første billede er den blivende fortand kommet skævt frem, og den har ikke skubbet mælketanden ud. På andet billede kommer de blivende fortænder fint frem.
Hvornår bryder de nye tænder frem?
- I 6-7 årsalderen skiftes de første fortænderne i undermunden.
- Fortænderne i overmunden skiftes i 7-8 årsalderen.
- Hjørnetænderne bryder som regel frem i 9-10 årsalderen, først i under-kæben.
- Mælkekindtænderne skiftes i 11-12 årsalderen.
- I 12-årsalderen bryder endnu en stor kindtand frem bagved 6-årstanden. Denne tand kaldes 12-årstanden.
At færdigdanne en tand, tager mange år
Den blivende tand er ikke færdigdannet, når den bryder frem. Roden er kun ½ færdig og det tager endnu 3 år, før den er helt færdig. Alt i alt tager det 9 til 10 år for en blivende tand at blive dannet.
Hvis tænderne ikke bryder frem
Der kan være flere grunde til, at tænderne ikke bryder frem.
Manglende anlæg af tænder (agenesi)
Problemet kan løses på flere måder, hvis der mangler anlæg af tænder:
- Rykke de andre tænder sammen ved hjælp af tandregulering, så pladsen fyldes op.
- Flytte en anden tand hen på pladsen ved hjælp af en operation (autotransplantation).
- Lade mælketanden sidde så længe som muligt, og senere sætte en bro eller et implantat ind.
- Man kan leve med et mellemrum mellem tænderne.


Normalt ligger de nye tænder lige nedenunder mælketænderne, som ses på første billede. På andet billede mangler anlæg til den blivende tand.
Tanden ligger skævt i knoglen
Hvis tanden ligger skævt i knoglen, skal den i de fleste tilfælde opereres og føres på plads, eller opereres helt ud. I sjældne tilfælde kan man vælge at lade tanden ligge i knoglen, hvis den ikke laver skade.